Publikationen

Anwenderbericht Kommunikation

Business Interview Julia Arndt, Marie Witt
„Wer zwei Hasen gleichzeitig jagt, wird keinen fangen“

Business_Patientenkommunikation Marie Witt
„Kommunikation ist wie Tennis“

Quintessenz Zahntechnik – Ausgabe 09/2021

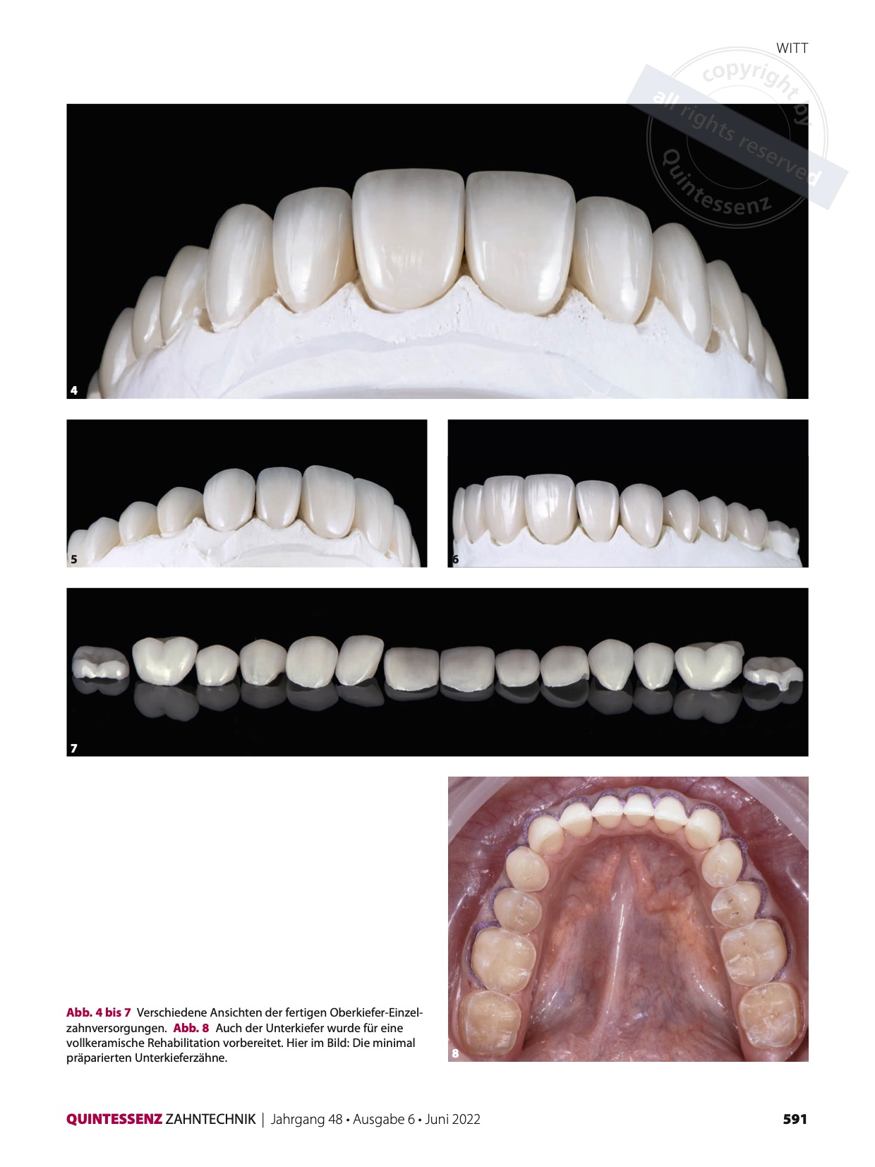
Quintessenz Zahntechnik – Ausgabe 06/2022

Quintessenz Zahntechnik – Ausgabe 12/2022

Quintessenz Zahntechnik – Ausgabe 04/2023
Buchbesprechung

Quintessenz Zahntechnik – Ausgabe 09/2023

Quintessenz Zahntechnik – Ausgabe 01/2024

Quintessenz Zahntechnik – Ausgabe 04/2025

Quintessenz Zahntechnik – Ausgabe 06/2025

Marie Witt
Datenschutz-Übersicht

Diese Website verwendet Cookies, damit wir dir die bestmögliche Benutzererfahrung bieten können. Cookie-Informationen werden in deinem Browser gespeichert und führen Funktionen aus, wie das Wiedererkennen von dir, wenn du auf unsere Website zurückkehrst, und hilft unserem Team zu verstehen, welche Abschnitte der Website für dich am interessantesten und nützlichsten sind.